脂肪前駆細胞
1.ご案内 
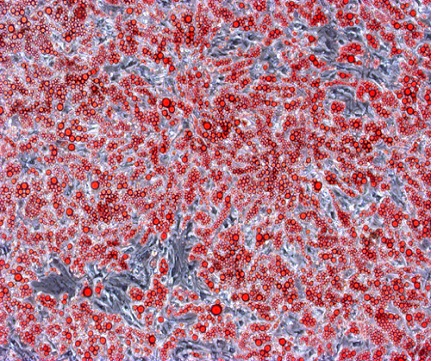
分化誘導後のOil red Oによる  | 
脂肪細胞は、エネルギーを中性脂肪として貯えるのみならず、さまざまなサイトカインやホルモンを産生する細胞としても
注目を集めるようになりました。この中で、内臓脂肪細胞はとりわけ生活習慣病に密接に関連するとされています。
 当バンクは、ヒト内臓脂肪組織(腸間膜・大網)、及び皮下脂肪組織から調製した脂肪前駆細胞を凍結状態で分譲しております。  | 
| 資源番号 | 提供者 | BMI値 | 部位 | 細胞数/本 | 解凍直後の生存率(*1) | 本数 | 遺伝子解析 | 
|---|---|---|---|---|---|---|---|
| HT28682102 | 男性(80才代) | 20 | 腸間膜 | 2.6 x 105 | >90% | 5本 | 可 | 
| HT81180762 | 男性(70才代) | 21 | 腸間膜 | 2.7 x 105 | >90% | 19本 | 可 | 
| HT81180762-a | 男性(70才代) | 21 | 腸間膜 | 2.7 x 105 | >90% | 34本 | 可 | 
| HT98683372 | 女性(60才代) | 21 | 腸間膜 | 2.6 x 105 | >90% | 4本 | 可 | 
| HT32030682 | 男性(40才代) | 27 | 腸間膜 | 2.6 x 105 | >90% | 18本 | 可 | 
| HT32614122 | 女性(60才代) | 19 | 腸間膜 | 2.7 x 105 | >90% | 9本 | 可 | 
| HT99560192 | 男性(70才代) | 16 | 腸間膜 | 2.6 x 105 | >90% | 18本 | 可 | 
| HT71689322 | 男性(70才代) | 23 | 腸間膜 | 2.6 x 105 | >90% | 19本 | 可 | 
| HT85523822 | 男性(70才代) | 25 | 腸間膜 | 2.6 x 105 | >90% | 83本 | 可 | 
| HT26752149 | 男性(60才代、糖尿病) | 20 | 腸間膜 | 2.7 x 105 | >90% | 17本 | 可 | 
| HT72029445 | 男性(60才代、糖尿病) | 28 | 大網 | 2.4 x 105 | >90% | 20本 | 可 | 
| HT73641231-A | 男性(幼児) | ― | 皮下 | 5.4 x 105 | >90% | 6本 | 不可 | 
| HT5139-A2 | 男性(幼児) | ― | 皮下 | 5.1 x 105 | >90% | 10本 | 不可 | 
| HT3522-A | 男性(幼児) | ― | 皮下 | 6.7 x 105 | >90% | 10本 | 不可 | 
| HT2899-A2 | 男性(幼児) | ― | 皮下 | 9.6 x 105 | >90% | 10本 | 不可 | 
| HT8348-A2 | 男性(幼児) | ― | 皮下 | 9.2 x 105 | >90% | 20本 | 不可 | 
| HT1700-A | 男性(幼児) | ― | 皮下 | 7.3 x 105 | >90% | 20本 | 不可 | 
| HT1700-A2 | 男性(幼児) | ― | 皮下 | 7.0 x 105 | >90% | 15本 | 不可 | 
| HT2356-A2 | 女性(幼児) | ― | 皮下 | 1.0 x 106 | >90% | 18本 | 不可 | 
| HT1955-A | 女性(幼児) | ― | 皮下 | 1.0 x 106 | >90% | 22本 | 可 | 
| HT1955-A2 | 女性(幼児) | ― | 皮下 | 1.0 x 106 | >90% | 19本 | 可 | 
| HT1177-A | 女性(幼児) | ― | 皮下 | 7.8 x 105 | >90% | 35本 | 可 | 
| HT1177-A2 | 女性(幼児) | ― | 皮下 | 1.0 x 106 | >90% | 23本 | 可 | 
| HT6118-A | 男性(幼児) | ― | 皮下 | 7.4 x 105 | >90% | 27本 | 可 | 
| HT6400-A | 男性(幼児) | ― | 皮下 | 1.0 x 106 | >90% | 13本 | 可 | 
| HT2550-A | 女性(幼児) | ― | 皮下 | 7.4 x 105 | >90% | 8本 | 可 | 
| HT2058-A | 女性(幼児) | ― | 皮下 | 9.0 x 105 | >90% | 18本 | 可 | 
HT81180762-aは、腸間膜脂肪組織から調製しています。HT28682102、HT81180762、HT98683372、HT32030682、HT32614122、HT99560192、HT71689322、HT85523822は、腸間膜脂肪組織からのトリミングによる脂肪小葉部分から調製しています。HT72029445は、大網脂肪組織から調製しています。なお、HT81180762とHT81180762-aは、同一提供者由来の細胞です。
(*1)バイアルを微温湯で解凍した直後にトリパンブルー染色し、計数した細胞数から求めた数値です。 解凍翌日の生存率・接着率はこの数値より低下いたします。
3.由来組織- 日本人
 - 大腸癌手術で摘出された腸間膜脂肪組織、または胃癌手術で摘出された大網組織、または多指(趾)症形成外科手術で摘出された余剰皮膚組織由来皮下組織
 - HCV、HBV、HIV、梅毒の検査結果は陰性
 - HCV、梅毒の検査結果は陰性(HT73641231-A、HT5139-A2、HT3522-A、HT2899-A2、HT8348-A2、HT1700-A、HT1700-A2、HT2356-A2)
 
↓
細胞分離処理(コラゲナーゼ消化、細胞分散)
↓
ろ過(250μm)
↓
遠心分離
↓
フラスコへの細胞播種、サブコンフルエントまで培養
↓
0.25% トリプシン / 0.02% EDTAで継代、培養
↓
セルバンカーに懸濁
↓
プログラミングフリーザーにて緩慢凍結
↓
液体窒素タンクに保管
- 使用機材
- 培養器質:Nunc マルチディッシュ4 well(Code No.: 176740)
 - 培養培地:Lonza ヒト前駆脂肪細胞培地 PGM-2 BulletKit(Code No.: PT-8002)
 - 分化誘導培地:PGM-2 BulletKit(Code No.: PT-8002)
 - 脂肪細胞分化誘導用試薬(Stem Cell Kit, R&D Code No.; SC006、PGM-2 BulletKit, Lonza Code No.; PT-8002 )
 - 蓄積脂肪の確認:Oil red O 染色
 - ELISAキット: Quantikine Human Adiponectin (R&D Systems, Cat No.: DRP300)
 
 - 解凍直後の全細胞数、生細胞数: トリパンブルー色素排除法
 - 増殖確認(図1)
 - マーカー検査: パラホルムアルデヒド固定、蛍光免疫染色法
を確認。腸間膜/大網脂肪由来 皮下脂肪由来 Vimentin + Vimentin + CD105 + CD105 + Keratin - CD90 + CD31 - FABP4(分化誘導時) + α-smooth muscle actin <10% Perilipin(分化誘導時) +  - 中性脂肪の蓄積: 分化誘導2週間後、Oil red O染色で確認(図2)
 - 培養可能日数: 解凍後2回継代まで確認
 - 分化誘導時のAdiponectin、FABP4、PPAR-γの遺伝子発現をRT-PCR法、Adiponectinの分泌をELISA法で確認 (図 3)
 - 微生物汚染検査(細菌・真菌・マイコプラズマ): 陰性を確認
 
【図1】解凍後の細胞増殖例 
培養1日後
  | 
 
培養3日後
  | 
 【図2】分化誘導後の脂肪蓄積例 
Oil red Oによる脂肪滴(赤)染色像
 | 
| 
 【図3】(3-1)Adiponectin、FABP4、PPAR-γの遺伝子発現を確認(皮下脂肪由来脂肪前駆細胞) 
 
 (3-2)Adiponectinの分泌を確認  
 | 
多指症由来皮膚組織からの細胞調製と研究資源化について、誌上報告を行っております。
合わせてご参照下さい ([JSTAGE] )。
 Nozomi Sugihara, Motonobu Satoh, Takuo Kosaka, Aya Kasamatsu-onishi, Akifumi Matsuyama, Shin Enosawa, Makoto Hikosaka, Tsuyoshi Kaneko, Arihiro Kohara
 
 Preparation of Multiple Cell Types as Research Resources from Surplus Tissues Derived from Surgery for Polydactyly.
 
 AATEX 22(2), 155-166, 2017
 
培養1日後
培養3日後


